Blog do Bruno Volpato
-

Tour da Catedral da Sé: um passeio pela história do Centro de São Paulo
Fiz o passeio que leva o visitante pela cripta, pelo altar e pelo telhado da igreja, contando um pouco da história da capital paulista e da devoção dos fiéis católicos.
-

Tive a impressão de que o Bruno de 24 anos escrevia melhor que o Bruno de 43
Reli meus blogs antigos e fiquei com um incômodo: é possível que eu tenha piorado como escritor ou tem alguma explicação escondida naquelas linhas antigas?
-

A nostalgia, a saudade e as boas memórias nunca vão ter um endereço fixo
Eu sei que em breve vou sentir muita falta da vista do mar na praia dos Ingleses, mas as lembranças do que vivemos ali continuarão para sempre comigo e com nossa família.
-

Beethoven, Stockhausen e Bach contra um sujeito de chinelo na Sala São Paulo
A sala de concertos não tem código de vestimenta, o que é ótimo para a democratização da música erudita, mas “Ode à alegria” merece ao menos um sapatênis.
-

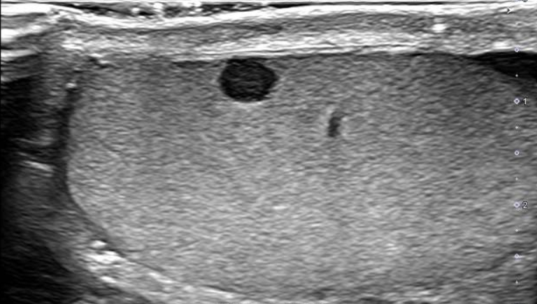
O Nódulo de Schrödinger: como é ter e não ter câncer ao mesmo tempo – Parte 2
Na 2ª parte, conto como eu lidei com o nódulo testicular nos meses que seguiram ao diagnóstico até a cirurgia, além do que vem pela frente agora.
-

O Nódulo de Schrödinger: como é ter e não ter câncer ao mesmo tempo – Parte 1
Na 1ª parte da história da minha vida nos últimos meses, conto como foi receber o diagnóstico de um nódulo testicular, sem saber se era benigno ou maligno.
-

“Dois de Nós”: peça com Fagundes e Torloni faz pensar sobre tempo e amor
O passado e o presente (ou o presente e o futuro) de um casal se encontram para um acerto de contas sobre o passado (ou sobre o futuro) em um lindo espetáculo
-

Eu não tenho mais condições físicas de comer em um rodízio de carnes
Uma visita ao Barbacoa Itaim levou a reflexões sobre meu passado glorioso de Maior Predador da Terra e a decadência física do meu sistema digestivo.
-

Um passeio pela região da Grande Bocaiúva, no Centro de Florianópolis
Você não precisa ter a ligação sentimental que eu tenho com essa parte do Centro, basta dar um passeio por lá e curtir Floripa de um jeito diferente, bem mais calmo.
-

Chegou a hora de admitir: os chatos que não usam fones de ouvido venceram
A civilização perdeu, e agora só resta nos juntarmos à horda de selvagens e também passarmos a ouvir em público os nossos barulhos vindos do celular.
-

Oasis em São Paulo: um show de nostalgia para um jovem quarentão
A cada música, as letras de Noel Gallagher cantadas por seu irmão Liam iam trazendo memórias da adolescência, mas também se encaixavam no que vivo e sinto hoje.
-

“Slide Away”: a mais bela canção do Oasis e a que mais quero ouvir no show
Favorita dos fãs, porém pouco listada entre os clássicos mais conhecidos da banda, essa canção do disco de estreia fala sobre um amor jovem e tem características únicas.